DE
FR
Magnetresonanztomographie
Philips Ingenia Prodiva 1.5T zur Steigerung der Effizienz in der Magnetresonanztomographie

Schnelligkeit  und Produktivität durch revolutionären Arbeitsablauf

Philips Ingenia Prodiva 1.5T


Unterstützt die klinische Entscheidungsfindung durch Nutzung unserer Bildgebungslösungen, die auf bewährter digitaler dStream Breitbandtechnologie basieren und in über 2000 Installationen weltweit integriert sind. Der vereinfachte Breeze Workflow beschleunigt den Patientendurchsatz.

 

Aufgrund einer intuitiven Benutzeroberfläche, ergänzt durch präzise geführte und standardisierte Untersuchungsabläufe, werden Sie von Anfang an bei MR-Routineuntersuchungen unterstützt. Und dank niedriger Installations- und Betriebskosten, durchgehendem Support zur Sicherstellung der Systemverfügbarkeit und einfacher Upgrades werden Sie zusätzlich unterstützt.

    Trailer anschauen

    Prodiva Trailer

    Was unsere Kunden über Ingenia Prodiva 1.5T sagen

    Frau Silvia Schiffer

    Frau Silvia Schiffer, leitende Radiologin bei Radiologie Schiffer in Deutschland, berichtet über ihre Erfahrungen mit dem Ingenia Prodiva 1.5T MR-System.

    Dr. Takahashi

    Dr. Takahashi, Radiologe im Allgemeinkrankenhaus Seirei-Mikatahara in Japan, berichtet über seine Erfahrungen mit dem Ingenia Prodiva 1.5T MR-System.

    Klinische Fallbeispiele von Ihren Kollegen mit Ingenia Prodiva 1.5T

    Wirbelsäule

    Lendenwirbelsäule mit mDIXON XD

    Plexus brachialis

    Läsion am Plexus brachialis

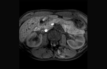
    Leber und Pankreas

    Leber und Pankreas

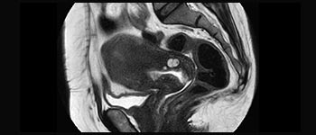
    Becken

    Weibliches Becken

    Mammaläsion

    Mammaläsion

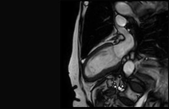
    Akuter Myokardinfarkt

    Akuter Myokardinfarkt

    Downloads

    NetForum

    Ingenia Prodiva 1.5T ExamCards herunterladen

    ExamCards

    Ingenia Prodiva 1.5T CX Broschüre

    Der vereinfachte Breeze Workflow beschleunigt den Patientendurchsatz

    Prodiva CX Broschüre

    Die passende Erweiterung für die Radiologie:
    Ingenia Prodiva 1.5T


    Sehen Sie selbst, was die ersten Nutzer von Ingenia Prodiva 1.5T über ihre Erfahrungen mit dem System und dessen Auswirkung auf ihre radiologische Praxis berichten. 

    Ingenia Prodiva

    Weitere Produkte

    Prodiva CX

    Ingenia Prodiva 1.5T CX


    Der vereinfachte Breeze Workflow beschleunigt den Patientendurchsatz.

    Prodiva CX

    Prodiva 1.5T CS


    Ihren Möglichkeiten sind jetzt keine Grenzen mehr gesetzt.

    Compressed Sense

    Compressed SENSE

    Die richtige Geschwindigkeit bei jeder Untersuchung.

    3D APT

    3D APT

    Mehr Diagnosesicherheit in der Neuroonkologie

    Klinische Auswahlhilfe

    Klinische Auswahlhilfe

    Finden Sie die richtigen klinischen Applikationen für Ihre Anforderungen

    Spulenauswahl

    Spulenauswahl

    Alle Ingenia Prodiva 1.5T-Spulen anzeigen 

    Lassen Sie uns in Kontakt treten!

    Wie können wir Ihnen weiterhelfen?

    1
    Wählen Sie Ihren Interessenbereich aus
    2
    Kontaktdetails

    1 Basierend auf einer internen Studie zum Vergleich des Workflows mit einem Achieva System

    2 ComforTone ist ab Q4 2017 für den Prodiva 1.5T erhältlich.

    3 Basierend auf einer internen Vergleichsstudie mit dem Arbeitsablauf des Achieva MRT-Systems bezüglich einer Mischung aus Gehirn-, Wirbelsäulen-, MSK- und Körperuntersuchungen

    4 Normaler Betrieb ist definiert als eine typische Untersuchung mit ununterbrochener Verfügbarkeit von Strom und Magnetkühlung und ohne Wartungsmassnahmen.

    5 Abhängig von den vertraglichen Ansprüchen und der Verfügbarkeit

    6 „Andere MR-Systeme“ bezieht sich hier auf Ganzkörper-MR-Systeme mit 60 cm und 1,5 T.

    You are about to visit a Philips global content page

    Continue

    You are about to visit a Philips global content page

    Continue

    Unsere Seite wird am besten mit der neuesten Version von Microsoft Edge, Google Chrome oder Firefox angezeigt.