Sie möchten Ihre MR-Dienstleistungen vorhersehbarer, effizienter und kostengünstiger gestalten? Dann kommt Ihnen der heliumfreie MR-Betrieb1 gerade recht. Helium ist eine begrenzte Ressource, die ein hohes Mass an Komplexität und Unberechenbarkeit für Ihren MR-Betrieb wie auch für Ihr Budget mit sich bringt. Aus diesem Grund haben wir den revolutionären BlueSeal Magneten entwickelt. Er geht aus unserer jahrzehntelangen Entwicklungsarbeit hervor und benötigt anstatt der üblichen 1.500 Liter an flüssigem Helium lediglich sieben Liter für den Betrieb. Der Magnet ist vollständig versiegelt, wodurch potenzielle Schwierigkeiten mit dem Helium eliminiert werden. Darüber hinaus bietet der Ingenia Ambition 1.5T qualitativ hochwertige Bilder, eine zuverlässige Leistung sowie eine einfache Standortwahl. Sind Sie bereit für die Zukunft der MR-Tomographie?
Profitieren Sie mit dem Ingenia Ambition 1.5T von all diesen Vorteilen und verbessern Sie die MR-Tomographie in jeglicher Hinsicht.

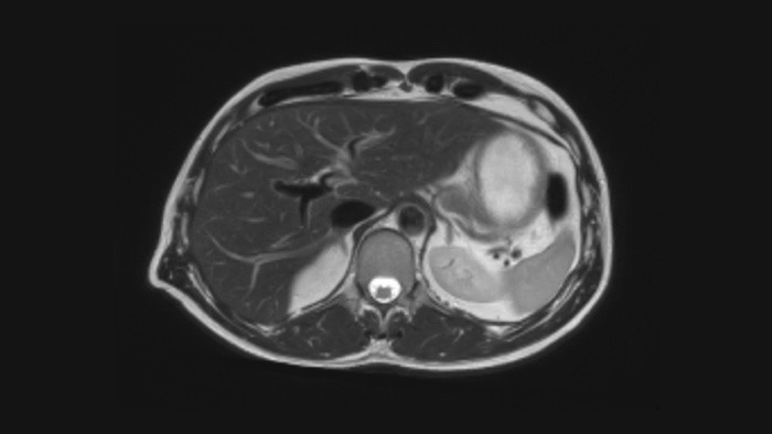
Geschwindigkeit Bis zu 50 % schnellere MR-Untersuchungen3, weil Ihre Zeit kostbar ist

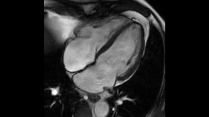
Patientenkomfort Bis zu 40 % kürzere Atemanhaltephasen bei nahezu gleicher Bildqualität4

Diagnosesicherheit Bis zu 60 % bessere räumliche Auflösung bei gleicher Scan-Dauer5
„Der Ingenia Ambition 1.5 Tesla Magnet ist die nächste Generation der MR-Technologie. Er bietet alle Vorteile eines hervorragenden MR-Systems.“
Constantino Peña
Ärztlicher Leiter für Gefässdiagnostik am Baptist Hospital, Miami Cardiac and Vascular Institute
„Wir sind sehr zufrieden mit den hochauflösenden Bildern, die in schneller Messzeit akquiriert werden können.“
Dr. Peter Baumann, Radiologe
Radiologie am St. Joseph-Stift, Bremen
„Mit diesem System können wir nicht nur Energie sparen, da für die Kühlung von 1.500 Litern Helium sehr viel Energie erforderlich ist. Mit dieser Lösung können wir darüber hinaus bares Geld sparen und umweltfreundlicher arbeiten.“
Dr. Marίa del Mar Travieso
Leiterin der Radiologie, Hospitales San Roque, Spanien
„Die Vorteile von nahezu heliumfreien MR-Systemen sind, dass wir in der Tat kleinste Räumlichkeiten nutzen können .… Das bringt deutlich mehr Variabilität und spart am Ende auch Kosten.“
Dr. Stefan Neumann, Geschäftsführer
Radiologie am St. Joseph-Stift, Bremen
„Das System verfügt über zahlreiche Anwendungen zur Optimierung des Arbeitsablaufs, beispielsweise Compressed SENSE, VitalEye und VitalScreen. Unserer Meinung nach bietet dieses System Sicherheit und optimierte Arbeitsabläufe in einem.“
Shibukawa
MTRA, Tokai University, Japan
„Die Arbeit am Ingenia Ambition hat sich für uns Mitarbeiter durch die automatisierten Prozesse sehr vereinfacht.“
Antonia Sommer, MTRA
Radiologie am St. Joseph-Stift, Bremen




Erfahren Sie, wie Sie mit Ingenia Ambition 1.5T Ihren MR-Betrieb auf ein neues Niveau heben können.
Profitieren Sie mit dem Ingenia Ambition 1.5T von allen Vorteilen und verbessern Sie Ihre MR-Dienstleistungen in jeglicher Hinsicht.

Geschwindigkeit Beschleunigen Sie Ihre Untersuchungen um bis zu 50 % bei nahezu gleicher Bildqualität3.

Mitarbeiterzufriedenheit Steigern Sie die Mitarbeiterzufriedenheit durch einen anleitungsunterstützten Arbeitsablauf und automatisierte Arbeitsschritte.

Patientenkomfort Sorgen Sie durch mehr Komfort und automatische Patientenanweisungen für eine bessere und stressfreiere Patientenerfahrung.

Diagnosesicherheit Erweitern Sie Ihre Bildgebungsfunktionen in allen klinischen Bereichen. Erfahren Sie, wie Ihre Kollegen von den Vorteilen dieses System profitieren.
Diese innovative Lösung bietet Ihnen zahlreiche klinische, betriebliche und finanzielle Vorteile.
Laden Sie die Broschüre zu Ingenia Ambition 1.5T herunter.
Weitere Informationen zu den Produktdetails.
Erhöhtes Patientenwohlbefinden bei optimalem Workflow durch den Ingenia Ambition 1.5T.
1 MR-Betrieb mit versiegeltem und austrittsfreiem BlueSeal Magneten mit 7 Litern Helium. 2 Selbst im unwahrscheinlichen Fall eines Ausfalls der Versiegelung würde die vernachlässigbare Menge an Helium, die austritt, den Sauerstoffgehalt im Raum nicht wesentlich beeinflussen. 3 Verglichen mit Philips Scans ohne Compressed SENSE. 4 Bei einer niedrigen Herzfrequenz (50/min), verglichen mit Philips Scans ohne Compressed SENSE. 5 Bei isotroper 3D-MSK-Bildgebung, im Vergleich zu Philips Untersuchungen ohne Compressed SENSE.
You are about to visit a Philips global content page
Continue