
Ultraschall ist ideal zur Unterstützung von Gefässmedizinern bei Entscheidungen, die sich positiv auf die Patientenversorgung und die Outcomes auswirken. Allerdings gibt es seit Jahrzehnten kein Ultraschallsystem, das die Gefässdiagnostik auf die nächste Stufe heben würde... bis jetzt. Sehen Sie das Video an und erfahren Sie mehr über unsere Ultraschalllösung zur Gefässdiagnostik.

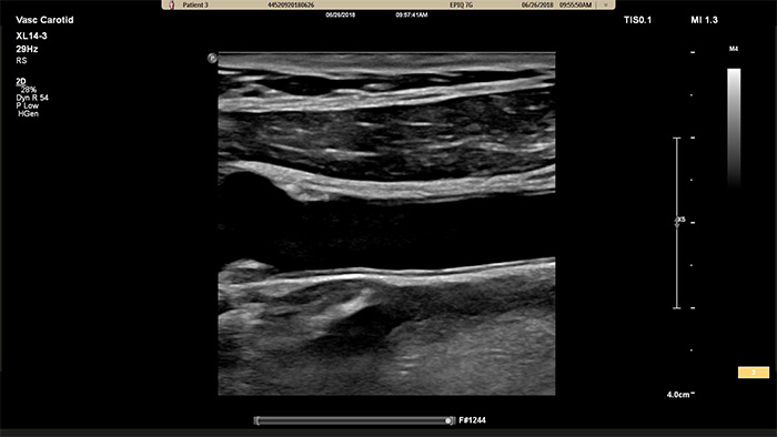
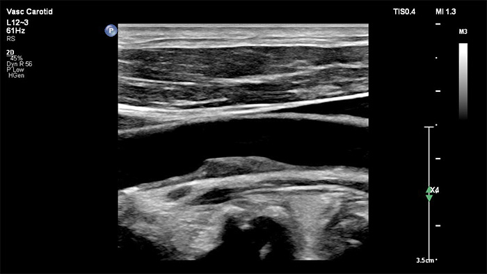
Der XL14-3 xMATRIX Breitband-Linear-Schallkopf ist einer der fortschrittlichsten Schallköpfe in der Gefässultraschalldiagnostik der letzten 20 Jahre. Erfahren Sie in diesem Demo-Video mehr.
Möchten Sie mit einem Vertriebsmitarbeiter sprechen oder einfach auf dem Laufenden bleiben? Füllen Sie das Formular aus, und wir melden uns schnellstmöglich bei Ihnen.

Der neue XL14-3 xMATRIX Schallkopf hat beeindruckende 56.000 Elemente, die alle mit einem separaten Mikrokanal verbunden sind. Der XL14-3 Schallkopf ermöglicht mit seiner mehrdimensionalen elektronischen Fokussierung die Bildgebung von Gefässanatomien und Plaquemorphologien in hauchdünnen Schichten. Wichtigster Vorteil: die aussergewöhnliche Diagnosesicherheit bei der Beurteilung von Stenosen und gefährlicher Plaque.


Der XL14-3 xMATRIX Schallkopf ermöglicht eine xPlane Bildgebung, die über den herkömmlichen Ansatz bei Gefässuntersuchungen hinausgeht und Echtzeitbilder gleichzeitig sowohl in der Längs- als auch Querebene bereitstellt. Wichtigster Vorteil: Bei der xPlane Bildgebung muss der Schallkopf zur Erfassung orthogonaler Ansichten nicht mehr rotiert werden. Mit einer einfachen Bewegung des Trackballs ist eine vollständige anatomische Beurteilung möglich – und die Untersuchungsdauer wird verkürzt.


Der XL14-3 xMATRIX Schallkopf verfügt zudem über xPlane Doppler-Funktionen. Im xPlane PW-Doppler-Betrieb lässt sich das Doppler-Probenvolumen anhand der Referenzbilder in der Längs- und Querebene präzise platzieren. Wichtigster Vorteil: xPlane Doppler reduziert Platzierungsfehler bei Probenvolumen und führt bei der Untersuchung grösserer Stenosen zu einer besseren Reproduzierbarkeit und Konstanz.



Mit dem XL14-3


Die 3D/4D-Benutzeroberfläche bietet auch die Möglichkeit, anhand von Flussdaten ein Gefässmodell zu generieren. Die 3D-Gefässmodellierung ermöglicht die direkte Visualisierung des Flusses zur weiteren Analyse von Stenosen oder gewundenen Gefässstrukturen. Wichtigster Vorteil: Die hervorragende 3D/4D-Visualisierung der Gefässanatomie stellt eine fundierte Gesprächsgrundlage für die Entscheidungsfindung dar und optimiert die Beratung von Patienten durch besseres Verständnis ihrer Erkrankung.



In der Bildverarbeitung der jüngsten Generation von Philips wird die Gefässdiagnostik durch die exzellente Abgrenzung der Gefässe und genaue Erkennbarkeit der Plaque-Beschaffenheit, auf eine neue Ebene gehoben. Auch bei technisch schwierigen Gefässuntersuchungen erhöht XRES Pro die Diagnosesicherheit durch die Reduktion von Schleiern und Artefakten.



Philips MicroFlow Imaging wurde für die Erkennung langsamer und schwacher Blutflüsse in Gewebe entwickelt und verbessert bei Gefässuntersuchungen die Flussauflösung mit beeindruckender Empfindlichkeit. Subtile, pathologische Strömungsverhältnisse um stenotische Plaques lassen sich durch die hohe Auflösung und minimale Artefakte visualisieren und charakterisieren, was die Diagnosesicherheit unterstützt.





Philips bietet ein breites Sortiment an ergonomischen und leichten Schallköpfen in verschiedenen Konfigurationen, die eine verbesserte Eindringtiefe bei weniger Artefakten ermöglichen. Klicken Sie auf den untenstehenden Link, um mehr über unser Schallkopfsortiment zu erfahren und genaue Anweisungen zu Pflege und Wartung herunterzuladen.

Bisher ungekannte Fortschritte beim Ultraschall der Premiumklasse stellen eine Hilfe für überlastete Krankenhäuser und medizinische Einrichtungen dar, die durchgehend damit konfrontiert werden, auf kosteneffiziente Weise eine qualitativ immer hochwertigere Versorgung anzubieten. Das Ziel bleibt gleich: eine schnelle und genaue Diagnose erleichtern. Philips Ultraschallgeräte stellen Ihnen und Ihren klinischen Teams die Informationen und Erkenntnisse bereit, die Sie brauchen. Unsere Gefässlösungen ebnen den Weg, damit Sie Untersuchungen ganz einfach, schnell und konstant durchführen können. Das bedeutet, dass Sie selbst bei schwer schallbaren Patienten eine hohe Diagnosesicherheit gewinnen.


You are about to visit a Philips global content page
Continue