Jeden Tag steht die Kardiologie vor der Herausforderung, bessere Diagnosen bei gleichzeitig höherer Effizienz im Arbeitsalltag zu erreichen, insbesondere bei interventionellen kardiologischen Verfahren. Die neueste Version des kardiovaskulären Ultraschallsystems EPIQ CVx von Philips unterstützt Sie dabei in jeder Phase, von der Diagnose bis hin zur Behandlung.
Wie lassen sich Mitralklappenanomalien einfach erkennen?
Philips Cardiac TrueVue auf dem EPIQ CVx.
Schnelle, einfache und intuitive Beurteilung des linken Vorhofohrs.
Die Philips Lösung für das linke Vorhofohr auf dem EPIQ CVx.

Verbesserte Darstellung von Strukturen und Blutfluss mit TrueVue Color

Darstellung der Herzmorphologie mittels Ultraschall mit TrueVue Glass

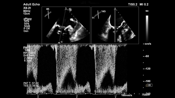
Zuverlässigere Platzierung von Doppler-Gates bei der Beurteilung des kardialen Blutflusses mit xPlane Doppler

Schnelle Durchführung von Messungen am Ostium des linken Vorhofohrs in herkömmlicher Darstellung oder in TrueVue Glass Darstellung mit 3D Auto LAA

Das kardiovaskuläre Ultraschallsystem EPIQ CVx von Philips vereint die speziellen Stärken von Philips und TOMTEC und bietet bei jeder Echo-Untersuchung ein vollständig integriertes Benutzererlebnis – von der Bilderfassung bis zur erweiterten Quantifizierung.
You are about to visit a Philips global content page
Continue